大家有过这样的经历吗?就是吃完饭,用牙签或者牙线剔一剔你的牙缝,会有一股恶臭味?今天熊妹就和大家聊一聊,牙齿的那些事……


为什么牙缝里的东西那么臭?

话说,咱们口腔内本身就存在很多很多的细菌,如果饭后不注意口腔卫生,食物残渣就住在你的牙缝等隐蔽处,在口腔高温环境下发酵,产生臭味~
口腔牙缝是一个温度适宜的环境,适合厌氧菌的发展,然后它们分解蛋白质,产生氨(氨气是一种具有强烈刺激性气味的气体),就有味了。
口臭会引发牙结石、牙垢。牙结石和牙垢中存在大量的厌氧菌及“养分”,并且还为它们提供了一层保护膜,使得这些污垢不容易被唾液沖走。厌氧菌在这里分解食物残渣,制造口臭,同时还会进一步破坏牙龈,诱发牙周疾病。
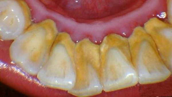
牙结石的危害

牙结石会引起牙龈发炎、牙周炎、口腔炎症等。 牙石容易吸附细菌或毒素。加上牙石本身的局部刺激,可使牙龈红肿出血发炎。由于龈下牙石刺激及附着物产生的毒素,可使牙龈内侧发生溃疡,不易愈合,致使牙龈出血、口臭和牙周感染加重。
解决牙臭很简单
5招治口臭
1、牙线:
牙线是一法宝牙线可以有效剔除牙缝里的残留物及牙齿邻面上的菌斑,谁用谁知道。
2、牙签:
牙签在生活中应该是家家户户都有了,这种独立包装的,平时外出也方便携带。
3、口气清新喷雾不能少:
有时候牙缝塞了东西,没有马上处理是会有口气的,这时候口气清新喷雾能让你少了很多尴尬。

4、口香糖:
饭后来颗口香糖,瞬间清除口气。
5、电动牙刷:
刷牙是至关重要的,电动牙刷好用的让你怀疑人生,感觉之前的牙都白刷了。
正确使用牙线清洁牙齿


最后,不要再想这么重口味的问题了,一起来好好保护牙齿,防止牙缝塞东西啦。

本文转载自其他网站,不代表健康台观点和立场。如有内容和图片的著作权异议,请及时联系我们(邮箱:jkcentv@163.com)
责任编辑:江军
